【成飞医院科普】“贴心”守护,换个角度看清你——经食管超声心动图(TEE)
2025-02-08 15:37:31超声科
“超人”科普系列小课堂来啦!想必大家对于超声检查已经很熟悉啦。检查床上一趟,再抹上滑溜溜的”糊糊”(耦合剂),神奇的探头四周移动扫查,体内的“五脏六腑”尽收眼底,但是,请注意啦!针对一些特殊的疾病,特殊部位常规超声不能清楚一探究竟的时候,需要用一些特殊的手段和检查技术,比如今天讲到的经食道超声心动图(TEE),且听“超人”医生为你娓娓道来:
一、什么是经食管超声心动图?
经食管超声心动图检查(TEE):是将特殊的食管超声探头置于食管或胃底,从心脏、血管后方近距离观察心脏、血管解剖结构及功能改变的一种超声显像方法。

(图片来源于网络)
二、经食管超声心动图跟常规经胸超声心动图(TTE)相比有什么优势?
1.TEE从心脏后方近距离探查,与经胸超声心动图(TTE)相比,避免了肥胖、胸廓畸形和肺部气体等干扰局限性,可获得更清晰超声图像,补充经胸超声心动图显示困难的心脏结构。
2.由于食管超声探头频率较高,且分辨率更高、可更加清晰,直观地显示心脏、血管细微结构。
3.可获取更多信息,发现到一些经胸超声难以发现的心脏问题,如微小血栓、瓣膜病变等,且可对心脏功能全面评估等。
4.三维食管探头还能实现心脏动态三维立体成像,在一些心脏病的诊断和治疗中发挥重要作用。
5.TEE由于对手术无干扰的优势,可实时术中监测指导。
三、哪些人适合做经食管超声心动图?
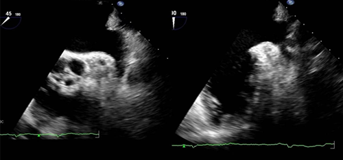
1.对于心律失常房颤、房扑、房速等患者,能帮助探查左心耳及心房有无血栓形成,做好射频消融术前评估。

(经食管超声观察左心耳)
2.心脏占位性疾病:如心房粘液瘤、心腔内血栓等。

(经食管超声显示右房内血栓)
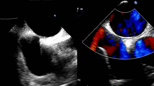
3.先天性心脏病,如:房间隔缺损、卵圆孔未闭等,常规经胸超声声窗差,不易准确诊断的病例,对于经胸超声不能明确房间隔缺损残端大小,或多发房间隔缺损患者,行TEE检查,可明确是否存在封堵适应证,并为封堵器大小的选择提供参考。

(经食管超声显示卵圆孔未闭)
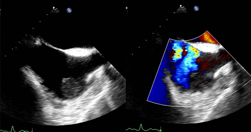
4.心脏瓣膜病:如瓣膜狭窄、关闭不全、脱垂等。

(经食管超声显示二尖瓣反流)
5.感染性心内膜炎,如有无赘生物形成、穿孔、腱索断裂、瓣周脓肿等。
6.心脏瓣膜置换术后,TEE超声图像优于TTE,可对人工瓣膜功能结构及功能准确评价,如有无人工瓣膜的狭窄、卡瓣、瓣周漏、感染性病变、血栓、血管翳等并发症。
7.应用于心脏手术及非心脏手术的术中监测、术后即刻评估等。
四、哪些人不适宜做经食管超声心动图?
1.先天性或获得性的上消化道疾病:如活动性上消化道出血、食管梗阻或狭窄、食管占位性病变、食管撕裂和穿孔、食管憩室、食管裂孔疝、先天性食管畸形、近期食管手术史、食管静脉曲张、咽部占位性病变、咽部脓肿。
2.严重心血管系统或全身疾病:如严重心力衰竭、严重心律失常、急性心肌梗死、不稳定性心绞痛、重度高血压、低血压或休克状态等。
3.患者有凝血疾病、颈部及纵隔放疗史,麻醉剂过敏等。
五、经食管超声心动图是不是跟胃镜一样?是怎么检查的呢?
胃镜用于诊断胃部及十二指肠病变,而经食道超声心动图是用于评估心血管疾病,TEE是胃镜技术与超声检查相结合的产物,采用类胃镜的方法将超声探头插入受检者的食管或者胃内进行超检查,TEE探头一般比胃镜更小,检查时间更短,所以相对于胃镜检查,TEE检查痛苦更小。
检查前,医生会先给予您口服麻醉药含在咽喉部进行局部表面麻醉,以减少探头插入引起的呕吐和喉痉挛。然后,医生会让您左侧卧位,双膝弯曲,并在您嘴里放置一个咬口器,再让您颈部稍前屈,当探头进入咽喉部后,听从医生嘱咐配合作吞咽动作,接着医生会轻柔地将探头插入您的食道。探头进入食道后,需要您尽量放松,保持用鼻子深吸气,口中缓缓吐气,医生会从不同角度和深度探查,捕捉图像以全面评估您的心脏结构和功能。

(我科任瑶副主任医师、黄柳源主管护师团队为患者行TEE检查中)
六、经食管超声心动图检查前、后有哪些注意事项?
1.检查前需完善相关实验室检查:如血常规、凝血功能、感染筛查等;并排除相关禁忌症。
2.检查前禁食6-8小时,以保证胃内容物排空,并消除口腔内活动性假牙等,以防止异物脱落误入气道造成窒息。
3.服用抗凝药患者,如华法林、阿司匹林等检查前需咨询专科医生是否停药。
4.检查前须仔细阅读并签署经食管超声心动图知情同意书。
5.检查结束后2小时内不能吃东西和喝水,2小时后可以适当吃温凉半流质食物。
6.检查完后喉咙可能会有些许不适,注意不要用力咳嗽,以免损伤粘膜。

目前成飞医院超声科已常规开展经食管超声心动图(TEE)此项新技术,检查预约请到住院部一楼超声科预约窗口,咨询电话87455501-813。
参考文献:
1.经食管超声心动图临床应用中国专家共识专家组.经食管超声心动图临床应用中国专家共识.中国循环杂志 2018年1月第 33卷第1期(总第 235 期)Chinese Circulation Journal,January,2018,Vol. 33 No.1(Serial No.235)
2.李忆,王恩福,莫娇,吴志勇,胡志敏,谢海玉.经食管超声心动图监测在临床中的应用进展.赣南医学院学报1001-5779(2024)02 -0206 -07.
【来源:任瑶】